Smile Gallery: General Dentistry




This patient came to us with chipped and uneven front teeth that affected both appearance and function. Our dentists used composite buildups to reshape and rebuild the worn areas, carefully layering tooth-coloured material for a natural finish.
Ready to Improve your Smile?
At our Newport clinic, cosmetic treatments like composite buildups offer a quick and effective way to restore the shape and appearance of your teeth. Schedule a consultation to find out how we can help you achieve a confident smile.




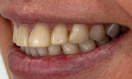
This patient was concerned about uneven tooth edges, discolouration, and minor cosmetic imperfections. Our dentists began with professional teeth whitening to create a brighter foundation, followed by gentle recontouring to smooth and shape the natural teeth. Finally, four porcelain veneers were placed to enhance symmetry and complete the smile transformation.
Thinking About a Smile Makeover?
Cosmetic dentistry in Newport, VIC can transform more than just your appearance. Schedule a consultation with our experienced dentists to discover the personalised treatments available to enhance your smile.