Smile Gallery




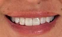
Our dentists closed the gaps in this patient's smile using clear aligners with Invisalign®. The patient no longer has to worry about food getting trapped between their teeth, resulting in a more straightforward and effective home care routine.
Learn More about Invisalign in Newport, VIC
At Portside Dental, our dentists are certified Invisalign providers, so they can determine if clear aligners are right for your needs and guide you through the treatment process step by step.


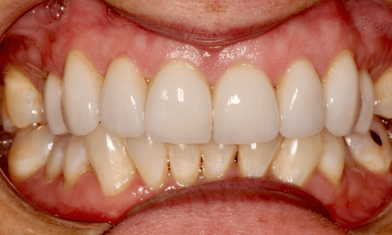
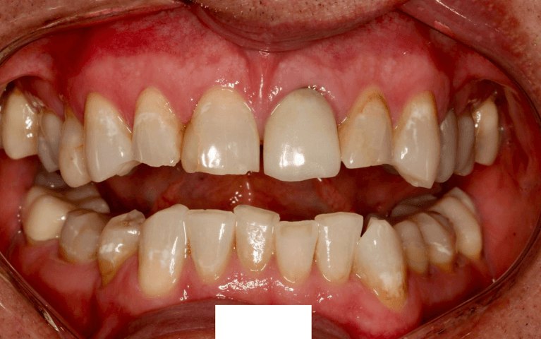
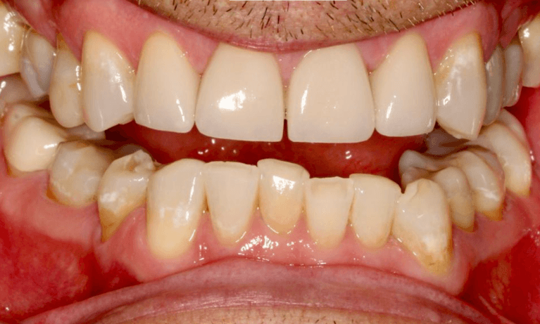
This patient presented with tooth staining, wear and discolouration. Our dentists used a combination of custom porcelain veneers and crowns to cover the front four teeth, blending them seamlessly into the patient's smile. The patient is now enjoying improved function and aesthetics.
Interested in Cosmetic Dentistry in Newport?
Cosmetic dentistry combines function and aesthetics to repair and enhance your smile, restoring its beauty and function. During a consultation, our dentists can help you determine which treatment procedures are right for your needs.
We invite your call to Portside Dental to learn more.




This patient came to us with chipped and uneven front teeth that affected both appearance and function. Our dentists used composite buildups to reshape and rebuild the worn areas, carefully layering tooth-coloured material for a natural finish.
Ready to Improve your Smile?
At our Newport clinic, cosmetic treatments like composite buildups offer a quick and effective way to restore the shape and appearance of your teeth. Schedule a consultation to find out how we can help you achieve a confident smile.




This patient was concerned about uneven tooth edges, discolouration, and minor cosmetic imperfections. Our dentists began with professional teeth whitening to create a brighter foundation, followed by gentle recontouring to smooth and shape the natural teeth. Finally, four porcelain veneers were placed to enhance symmetry and complete the smile transformation.
Thinking About a Smile Makeover?
Cosmetic dentistry in Newport, VIC can transform more than just your appearance. Schedule a consultation with our experienced dentists to discover the personalised treatments available to enhance your smile.


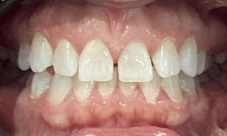
Sometimes, our dentists use dental veneers to eliminate slight tooth misalignment issues, as was the case for this patient.
They presented with tooth wear, discolouration and misalignment, which our dentists corrected using porcelain veneers, allowing the patient to avoid orthodontic treatment.
What's Possible for Your Smile?
You may be surprised to learn that you have many treatment options available for cosmetic dentistry in Newport, VIC. We invite you to learn more through a consultation with our dentists.


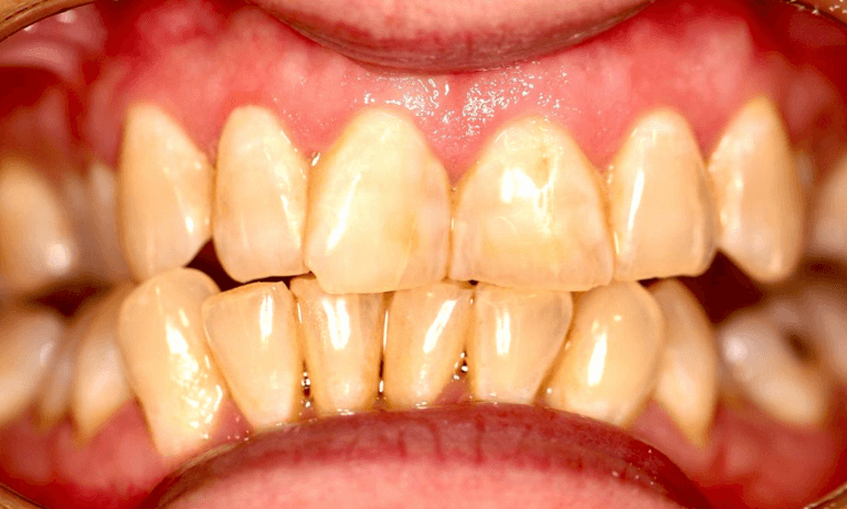
This patient presented with chipped, worn and discoloured teeth. Our dentists began with professional teeth whitening to lighten the patient's teeth before using porcelain crowns and veneers for repair. The custom porcelain restorations blend seamlessly with the patient's whitened teeth, creating a brighter smile upon completion.
Are You Living with Compromised Teeth?
Cosmetic dentistry in Newport blends aesthetics and function to improve your smile. You can learn more during a consultation with one of our dentists.